
洞察力丰富。赋予力量的精确度。2023年10月公司介绍附件 99.2

本演示文稿中有关非历史事实的陈述属于1995年《私人证券诉讼改革法案》(经修订)含义内的“前瞻性陈述”。诸如“预期”、“相信”、“预期”、“打算”、“计划”、“潜在”、“项目”、“将”和“未来”等词语或类似的表达方式旨在识别前瞻性陈述。这些前瞻性陈述中的每一项都涉及重大风险和不确定性,可能导致实际结果与这些前瞻性陈述中明示或暗示的结果大不相同。本演示文稿中包含的前瞻性陈述包括但不限于关于我们当前和未来临床前研究和临床试验的启动、时间、进展和结果的陈述,具体包括我们的lunresertib(RP-6306)和camonsertib临床试验;计划更新和数据披露的预期时间;提交IND和其他监管文件的时间;为我们的候选产品寻求监管批准的时间和可能性;我们的候选产品的竞争格局;我们使用我们的SNIPRx平台识别和开发其他候选产品的能力;以及我们对费用和未来收入的估计,资本要求,现金跑道和额外融资的需要。这些前瞻性陈述反映了我们当前的信念和期望。许多因素可能造成当前预期与实际结果之间的差异,包括新冠疫情对我们业务和市场波动的持续时间和影响、在临床前或临床研究期间观察到的意外安全性或有效性数据、低于预期的临床站点激活率或临床试验注册率、预期或现有竞争的变化、监管环境的变化、意外诉讼或其他纠纷。这些风险和其他风险在我们提交给美国证券交易委员会(“SEC”)的文件中有更全面的描述,包括我们于2023年8月9日提交给SEC的10-Q表格季度报告中的“风险因素”部分,以及我们随后提交给SEC或提交给SEC的其他文件。本演示文稿中包含的所有前瞻性陈述仅在其发表之日发表。除法律要求外,我们不承担更新本文所载的任何前瞻性陈述以反映预期的任何变化的义务,即使有了新的信息。本演示文稿还包含独立方和我们就市场规模和增长所做的估计和其他统计数据,以及有关我们行业的其他数据。这些数据涉及许多假设和限制,请注意不要对这些估计给予不适当的权重。我们或任何其他人均不对此类数据的准确性或完整性作出任何陈述,也不承担在本陈述日期之后更新此类数据的任何义务。此外,对我们的未来表现和我们所经营的市场的未来表现的预测、假设和估计必然受到高度的不确定性和风险的影响。仅为方便起见,本演示文稿中的商标和商品名称可在不带®和™符号的情况下提及,但此类提及不应被解释为表明其各自所有者不会主张其权利的任何标志。

差异化且不断扩大的临床阶段管线Lunrestib:First-in-class口服PKMYT1抑制剂(1/2期)Camonsertib:ATR抑制剂(与罗氏合作)其他近期临床项目跨多种肿瘤类型的潜力专有CRISPR支持的SNIPRx平台专注于癌细胞内的基因组不稳定性和DNA损伤修复预计在2023年和2024年有多种临床催化剂到2026年开发下一代精准肿瘤治疗

通过合成致死率靶向无法靶向的人目前的治疗范式癌症下一代治疗中的基因改变专门靶向和破坏对癌细胞存活至关重要的基因SNIPRx识别并靶向诱导合成致死率的必要基因高度靶向和肿瘤类型不可知方法利用癌细胞基因组不稳定性,包括DNA损伤修复平台,通过已建立和扩展的临床阶段管道验证靶向功能获得~29%非靶向功能丧失~54%非靶向功能获得~17%

通过SNIPRx ®实现靶点识别和患者洞察Predicted nonresponders DRUG TARGET Small molecule inhibitor(clinical candidate)POTENTIAL SL DRUG TARGETS viable VALIDATION NORMAL CELL CANCER-ASSOCIATED GENETIC LESION Predicted responders DRUG TARGET viable Lethal SL genetic leision STEP2 genetic altations Lethal Select tumor leision of interests Execute SNIPRx ® CRISPR-Cas9 enabled screening campaign in isogenous cells Prioritize

扩大精准肿瘤治疗项目PROGRAM TUMOR LESION DRUG TARGET PRECLINICAL PHASE 1 PHASE 2 PHASE 3 RIGHTS Camonsertib(RP-3500/RG6526)ATM + 16 STEP2病变ATR Lunresertib(RP-6306)CCNE1,FBXW7 +其他PKMYT1 RP-1664未公开未公开RP-3467 Pola θ抑制剂BRCA1/2 +其他Pola θ SNIPRx ®平台处于开发晚期的其他SL靶点发现和验证新的SL精准肿瘤靶点Ph2 TAPISTRY Ph1b/2 Morpheus-Lung Ph1/2 TRESR:Mono + PARP(talazoparib)Combo Ph1/2 ATTACC:PARP(olaparib/niraparib)Combo Ph1/2 TRESR:Gemcitabine Combo Ph2 CCTG ISTs Ph1 MYTHIC:Mono + Camonsertib Combo Ph1 MAGNETIC:Gemcitabine Combo Ph1 MINO

通过战略合作推动股东价值Camonsertib的全球开发和商业化合作利用SNIPRx ®发现平台的多目标发现合作1.35亿美元的预付款~1.2B美元的潜在里程碑高单位数到十几岁的特许权使用费50/50美国共同开发、利润/成本分摊和共同推广选项6500万美元的预付款~3B美元的潜在里程碑特许权使用费SL目标和我们关注之外的“不可药物”目标

经验丰富的药物发现和开发领导团队科学创始人Steve Forte,注册会计师首席财务官Michael Zinda,博士,首席科学官Maria Koehler医学博士,博士,首席医学官Cameron Black,博士,发现负责人Philip Herman首席商务,投资组合开发官Daniel B é langer人力资源主管Lloyd M. Segal总裁兼首席执行官Kim A. Seth,博士,首席商务官Daniel Durocher,博士开发CRISPR SL平台深度DNA修复知识Lunenfeld-Tanenbaum Research Institute(LTRI),多伦多大学教授Agnel Sfeir,博士,DDR和癌症通路研究者Pioneer in Pola θ,基因组不稳定性教授,MSKCC Frank Sicheri博士全球公认的结构生物学家、真核细胞信号传导专家、药物作用机制LTRI &多伦多大学教授

Lunresertib(RP-6306)

Lunrestib:First-in-class,口服,小分子,PKMYT1抑制剂联合疗法在多种肿瘤类型和测试的基因型中实现了强大的抗肿瘤活性;在初步RP2D(N = 18)时总体应答率为33%;在最大的队列(妇科肿瘤)中观察到50%的RECIST应答(N = 10)在MYTHIC 1期试验中为单一疗法和camonsertib联合疗法建立的概念验证验证了来自专有SNIPRx平台的临床前协同假设和患者选择方法大的、基因组定义的潜在患者群体~90K可寻址人群,包括CCNE1、FBXW7和PPP2R1A口服单一疗法和联合疗法RP2D的安全性和耐受性特征令人鼓舞,推荐的2期剂量

Lunrestib:Wee1激酶家族中唯一的临床阶段治疗靶向PKMYT1蛋白激酶调节细胞周期,是DNA损伤修复相关信号传导的一部分,通过苏氨酸14(T14)磷酸化使CDK1失活,将细胞保持在S期,直到准备好进行有丝分裂CCNE1 amp或FBXW7和PPP2R1A中的有害突变导致延长S期,依赖PKMYT1活性在这些基因组背景中抑制PKMYT1可能通过有丝分裂巨变导致细胞死亡STEP2筛选确定的其他基因(FBXW7和PPP2R1A)初步确定对PKMYT1抑制敏感的CCNE1扩增

不同肿瘤类型的约90K名患者;顶级肿瘤中的约65K名CCNE1扩增或FBXW7和PPP2R1A失活突变基因改变在很大程度上是相互排斥的解决危重患者群体中未满足的需求顶级肿瘤(新晚期病例,美国+英国/EU4)顶级肿瘤(新晚期病例,美国+英国/EU4)感兴趣基因的肿瘤类型流行率合格患者子宫7,000卵巢6,300胃9000结肠直肠24,500膀胱6,200宫颈1,300食管4,500肉瘤1,200肺鳞片2,300 *基于在一线治疗的患者估计数量,诊断和新复发患者的晚期环境(CancerMPact ®,Treatment Architecture,美国,2021年;第5/19/23次访问)和病变发生率(TCGA)。1只软组织肉瘤;2只非小细胞肺癌鳞状亚型CCNE1 FBXW7 PPP2R1A Multiple

发展中的广泛试验项目:赞助和合作的PPP2R1A FBXW7复发性实体瘤关键纳入标准:CCNE1扩增或失活突变决定RP2D剂量/时间表后期试验进展MAGNETIC:+ Gemcitabine MYTHIC:+ Camonsertib MINOTAUR:+ FOLFIRI IST:+ CCTG1 IST:+ Carbo/paclitaxel2 Lunrestib联合治疗FBXW7缺失率高的肿瘤Basket trial 1 Canadian Clinical Trial Group(CCTG)合作的项目包括NCT05605509和NCT05601440。2一线卵巢癌的SOC是卡波/紫杉醇(6个周期)+ PARPi维持疗法或卡波/紫杉醇与贝伐珠单抗+ bev维持疗法;该IST支持未来潜在的一线联合研究,作为CCNE1扩增肿瘤患者的三联疗法。CCNE1扩增的卵巢、肺、食管/胃未来机会CRC、其他GI、泛肿瘤子宫内膜、膀胱乳腺、肉瘤、胆管4项合作试验在高级讨论中

Lunresertib:MYTHIC初步1期试验结果(M1:单一疗法)(M2:Camonsertib联合疗法)MONOTHERAPY安全、耐受性良好、抗肿瘤活性确定(N = 67)推荐2期剂量:80至100mg,每天两次,间歇性方案CAMONSERTIB联合疗法安全、耐受性良好、有希望的抗肿瘤活性跨越肿瘤和lunresertib致敏的基因组改变(N = 59)23.6% OR;41.8% CBR在可评估疗效的患者(N = 55)33.3% OR;50.0% CBR在初步RP2D范围内,在所有肿瘤中(N = 18)38.5% OR;在经过大量预处理的妇科癌症患者中为57.7% CBR(N = 26);在初步RP2D时有50%的RECIST应答(N = 10)初步推荐的2期剂量:Lunrestib 80mg每日两次,camonsertib 80mg每日一次,剂量/时间表优化持续OR,总体应答;CBR,临床受益率;RP2D,推荐的2期剂量。

lunrestib单药治疗的抗肿瘤活性FBXW7 PPP2R1A基线左侧髂外链LN TA # 1 –第6周总体应答:cPR(RECIST)RECIST靶病变减少-41 %接受治疗8.3个月女性73岁转移性复发性子宫癌肉瘤&一个RECIST应答者突变此外,7例肿瘤缩小< 30%,2例PFS > 6个月和14个月,分别为Lunrestib:80mg BID-I右侧气管旁LN BID-I,每日两次,间歇性;cPR,确认部分应答;LN,淋巴结;RECIST,实体瘤应答评估标准;PFS,无进展生存期;RP2D,推荐2期剂量;3种先前的治疗方法

PKMYT1和ATR抑制剂协同增强抗肿瘤活性1 Lunrestib致敏改变通过复制应激与ATR结合ATR和PKMYT1抑制增强CDK1活化和过早有丝分裂1ANE海报B057:Gallo等人。PKMYT1和ATR抑制剂组合的临床前开发。ATR,共济失调毛细血管扩张症和Rad-3相关;CDC25,细胞分裂周期-25;CDK,细胞周期蛋白依赖性激酶;CHK1,检查点激酶1;PKMYT1,蛋白激酶,膜相关酪氨酸/苏氨酸1。

在肿瘤类型和lunrestib致敏改变中观察到的对组合的反应*一名可评估反应的患者成为uPR,四名患者在2023年9月5日截止日期后确认了反应,数据截至2023年10月6日。相关患者肿瘤共突变† BRCA1重排和TERM02双等位基因丢失。+治疗正在进行中。BL,基线;cPR,确认部分应答;RECIST,实体瘤的应答评估标准;TL,目标病变;Tx,治疗;uPR,未确认部分应答。RECIST和肿瘤标志物反应在早期发生,尽管经过了大量的预处理,复发/难治患者群体肿瘤类型基因型应答BL治疗后TL的最佳变化百分比(周)既往Tx/既往铂子宫内膜PPP2R1A/FBXW7 cPR-55.93 0.43/Y PPP2R1A/CCNE1 cPR-53.0 18.12/Y FBXW7 cPR *-100.0 11.1 + 3/Y FBXW7 uPR-39.6 16.03/Y FBXW7 uPR *-44.7 11.4 + 3/Y卵巢CCNE1 cPR *-70.2 21.4 + 2/Y CCNE1 † cPR *-30.81 2.6 + 3/Y CCNE1 CA-125-16.9 29.0 + 9/Y CCNE1 CA-125-23.1 37.0 + 2/Y

*仅限可评估疗效的患者(≥ 1例基线后肿瘤评估)。其他肿瘤类型包括颈椎(n = 1)、食管(n = 1)、胃肠道(n = 1)、肝脏(n = 1)、肺(n = 3)、黑色素瘤(n = 1)、骨肉瘤(n = 1)、胰腺(n = 2)和上胃肠道(n = 1)。CBR:总应答或治疗时间≥ 16周,无进展;CRC,结直肠癌;RECIST,实体肿瘤反应评估标准(RECIST)妇科癌间组(GCIG);MRR,分子应答率;OR,基于RECIST或GCIG CA-125应答的总应答;RP2D,推荐2期剂量。lunre + cam联合治疗多种肿瘤类型可评估的患者*,所有肿瘤/剂量:OR:23.6%(n = 55)CBR:41.8%(n = 55)MRR:50.0%(n = 24)初步RP2D,所有肿瘤:OR:33.3%(n = 18)CBR:50.0%(n = 18)CA-125反应治疗中+肿瘤类型:卵巢子宫内膜CRC胆管乳腺肿瘤大小与基线相比的其他最佳变化(%)100 − 80806040200 − 20 − 40 − 60 − 100

大多数妇科癌症患者在联合治疗下肿瘤缩小*妇科癌症:卵巢癌、子宫内膜癌和宫颈癌。数据代表疗效可评估人群(≥ 1个基线后肿瘤评估)。CBR,临床受益率;OR,基于RECIST或GCIG CA-125应答的总体应答;MRR,分子应答率;PR,部分应答;RECIST,实体瘤应答评估标准;妇科癌症组间(GCIG);RP2D,推荐2期剂量。在所有剂量(n = 26)中:总体应答率:38.5%;RECIST应答率:26.9% CBR:57.7%;MRR:8/10(80%)在初步RP2D(n = 10)时:总体应答率:60%;RECIST应答率:50% CBR:70%患者之前接受过1-9次治疗(中位数= 3);11名患者正在接受治疗;RP2D扩大队列的入组仍在继续有意义的肿瘤减少在接受大量预处理的患者中观察到的和持久的临床益处PR肿瘤标志物应答治疗进行中的妇科癌症*疗效可评估的患者治疗周数0481216202428323640肿瘤大小相对于基线的最佳变化(%)CA-125应答治疗进行中+ 6040200 − 20 − 40 − 60 − 80 − 100在初步RP2D

复发性FBXW7突变结直肠腺癌的早期反应FBXW7男性63岁复发性结直肠腺癌突变Lunre 240mg QD 3/4 Cam 80mg QD 3/4总体反应:cPR(RECIST)RECIST目标病灶减少-43.3 %接受治疗27.6周左主动脉旁淋巴结基线TA-6周TA-12周治疗前治疗中的ctDNA动态pCDK1-Thr14 H2AX基因改变:ALK p.L1118F APC p.A1485fs APC p.E984 * FANCA p.L1167F FBXW7 p.R505C H3F3A p.HHA实体瘤的反应评估标准;QD,每日一次;RP2D,推荐2期剂量;TA,肿瘤评估;Thr,苏氨酸。3个既往治疗线TP53 mut

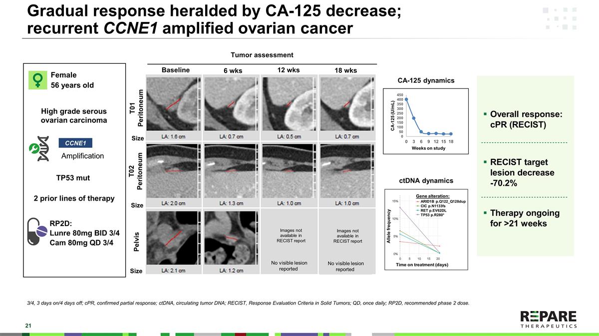
CA-125减少预示的逐渐缓解;复发性CCNE1扩增的卵巢癌总体缓解:cPR(RECIST)RECIST靶点病变减少-70.2 %治疗正在进行超过21周女性56岁高级别浆液性卵巢癌扩增RP2D:Lunre 80mg BID 3/4 Cam 80mg QD 3/4 CCNE1基线6周12周T01腹膜T02腹膜盆腔18周肿瘤评估大小大小RP2D:RP2D:RP2D:RP2D:RP2D:RP2D:RP2D:RP2D:RP2D:RP2D:RP2D:RP2D:RP2D:RP2D:RP2D:RP2D:RP2D:RP2D:RP2D:RP2D:RP2D:RP2D:RP2D:RP2D:RP2D:RP2D:RP2D实体瘤的反应评估标准;QD,每日一次;RP2D,推荐2期剂量。2个既往治疗线TP53 mut

复发性宫颈癌肉瘤发生PPP2R1A突变时的快速反应女性66岁复发性宫颈癌肉瘤突变RP2D:Lunre 80mg BID 3/4 Cam 80mg QD 3/4 T01淋巴结左髂外PPP2R1A基线6周12周肿瘤评估CA-125动态总体反应:cPR(RECIST)RECIST目标病灶减少-44.4 %治疗持续11周3/4,3 days on/4 days off;BID,每日两次;CN,拷贝数;cPR,确认部分反应;RECIST,实体瘤反应评估标准;QD,每日一次;RP2D,推荐2期剂量;TA,肿瘤评估。1个先前的治疗线MYC amp TP53 mut

Camonsertib(RP-3500/RG6526)

Camonsertib:潜在的同类最佳ATR抑制剂扩大联合疗法的潜力在1/2期单药治疗试验中确立的概念验证与PARP抑制剂和吉西他滨联合使用具有持久的抗肿瘤活性;在卵巢癌中具有有意义的临床益处证明ATR的合成致死相互作用以及通过SNIPRx和STEP2过程鉴定的基因网络与罗氏的全球开发和商业化合作;初步推进TAPISTRY 2期和Morpheus Lung 1b/2期试验

跨其他患者群体的潜力ATM缺乏症患病率最高的前10种肿瘤类型* ATM缺乏症或STEP2基因组改变患病率最高的前10种肿瘤类型*资料来源:* TCGA;未根据肿瘤患病率进行加权

通过罗氏合作扩大临床开发注:Camonsertib单药治疗TRESR模块2扩展阶段将被整合到罗氏IND Repare试验下的合作临床开发计划中罗氏合作TRESR 1/2期单药治疗(M1)+ Talazoparib(M3)+吉西他滨(M4)ATTACC 1/2期+ Olaparib/Niraparib TAPISTRY 2期(预计于2023年2月启动)Morpheus Lung 1b/2期强大的临床项目潜力

Camonsertib:TRESR & ATTACC 1/2期试验结果MONOTHERAPY良好的安全性(N = 120)在卵巢癌中建立的概念验证25% OR;75% CBR;8 +月PFS BRCA1/2突变患者的临床获益组合疗法联合所有主要PARP抑制剂具有临床意义的抗肿瘤活性证实在铂类和PARPI耐药癌症中的疗效48%总体CBR(N = 90)32% OR;58% CBR;晚期卵巢癌中约7个月PFS(N = 19)OR,总体缓解;CBR,临床受益率;PFS,无进展生存期

单药治疗卵巢癌的抗肿瘤活性*铂难治性/耐药性:在铂或不含铂的间隔期< 6个月内进展。CBR:OR或≥ 16w治疗无进展25%总缓解(5/20 *)35w中值PFS 75%临床受益率(CBR)90%(18/20)患者有PARPi 85%(17/20)患者铂难治性/耐药性*治疗时间(wk)–卵巢疾病进展或死亡时间–卵巢

治疗时间(wk)– BRCA1/BRCA2单元1受试者> 100mg/天剂量水平目标病灶(BRCA1/BRCA2)相对于基线的百分比变化(BRCA1/BRCA2)单元1受试者> 100mg/天剂量水平单药治疗的BRCA1/2突变患者的临床相关获益BRCA1人群为48%,BRCA2人群为36%,BRCA1/2人群为36%(RECIST,5/37)43% BRCA1/2肿瘤为CBR 48%后PARPi BRCA1/2肿瘤为CBR 48%

联合疗法观察到的持久临床益处在铂耐药肿瘤(ORR12 %,CBR49 %)和非铂耐药肿瘤(ORR13 %,CBR46 %)患者中观察到的类似益处在多个肿瘤中观察到的益处,无论之前是否接受过PARPi疗法,48%的总体CBR(N = 90)纳入疗效分析集的患者。ORR是根据RECIST v1.1标准确定的或未确定的CR或PR的最佳反应,或根据妇科癌症间组组确定的CA-125反应;CBR是根据总体反应或治疗后≥ 16周无进展;MRR是根据CTDNA分子反应,如mVAF下降> 50%,由GuardantINFINITY或Tempus xF基因组组评估,可检测到躯体改变的患者。CBR,临床受益率;CR,完全应答;PR,部分应答;ORR,总体应答率;RECIST,实体瘤应答评估标准。

即将到来的里程碑2H 2024 2H 2023 1H 2024 Camonsertib 2期TAPISTRY试验启动Lunresertib +卡铂/紫杉醇组合1期IST启动RP-1664和RP-3467(Pol θ i)重点投资者事件RP-1664临床试验启动Initial lunresertib + FOLFIRI组合1期数据RP-3467(Pol θ i)临床试验启动Lunresertib +吉西他滨组合1期数据Lunresertib + camonsertib组合1期数据(扩展队列)

开发下一代精准肿瘤治疗差异化和扩大临床阶段管道Lunresertib:First-in-class口服PKMYT1抑制剂(1/2期)Camonsertib:ATR抑制剂(与罗氏合作)其他近期临床项目跨多种肿瘤类型的潜力专有CRISPR支持的SNIPRx平台专注于癌细胞内的基因组不稳定性和DNA损伤修复预计在2023年和2024年有多种临床催化剂到2026年的现金跑道

洞察力丰富。赋予力量的精确度。2023年10月公司介绍